
Oral Prophylaxis
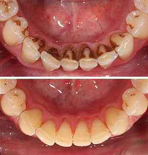
A thorough examination of your oral health combined with a scale and clean and can be conducted by a dentist or a dental hygienist.


A thorough examination of your oral health combined with a scale and clean and can be conducted by a dentist or a dental hygienist.
This can help you get your teeth back to their original function while also preventing further decay.
